Restorative Dental Treatments
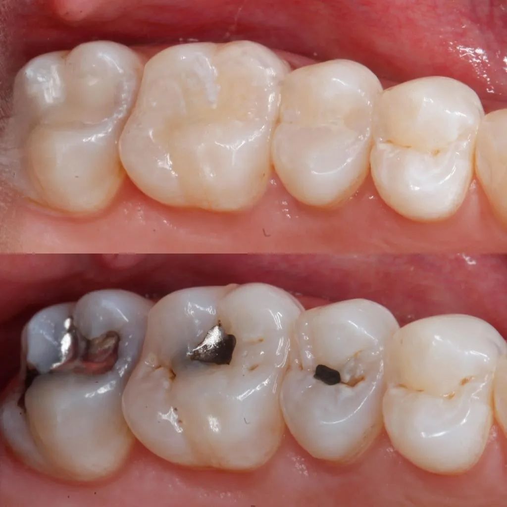
Tooth-Colored Fillings
Fillings repair teeth that have been damaged by cavities or minor fractures. We use tooth-colored materials to restore strength and function while maintaining a natural appearance.

Inlays and Onlays
Inlays and onlays are custom-made restorations used to repair teeth with moderate decay or damage that is too extensive for a filling but doesn’t require a full crown. Designed to fit precisely, they strengthen the tooth while preserving more of its natural structure, providing a durable and natural-looking result.
Single Visit CEREC Crowns
A crown covers and protects a weakened or damaged tooth. Crowns restore shape, strength, and appearance, allowing you to chew comfortably and smile with confidence. With updated technology, our crowns can be prepared and inserted all in one visit!

Dental Implants and Implant Restorations
Dental implants are a long-lasting solution for replacing missing teeth. A small titanium post is placed in the jawbone to act as a stable foundation for a custom crown, bridge, or denture. Implant restorations are designed to look, feel, and function like natural teeth, helping restore your smile, confidence, and ability to eat comfortably.

Complete and Partial Dentures
Dentures are removable replacements for missing teeth. They improve chewing, speech, and facial appearance and can be customized for comfort and a natural look.

Tooth-Supported Bridges
Dental bridges replace one or more missing teeth by anchoring an artificial tooth to nearby natural teeth or crowns. They help restore your bite and prevent surrounding teeth from shifting.

Full Mouth Reconstruction
Full mouth reconstruction is a comprehensive treatment plan designed to restore the health, function, and appearance of your entire smile. It may combine multiple procedures—such as crowns, implants, bridges, and/or dentures—to repair damaged teeth, replace missing teeth, and improve your bite. Each plan is customized to help you achieve a healthy, comfortable, and confident smile.

