Cosmetic Treatments
Professional Teeth Whitening
Professional teeth whitening safely brightens your smile by removing stains and discoloration. Our treatments provide faster and more noticeable results than over-the-counter options.

Dental Bonding
Dental bonding uses a tooth-colored resin to repair chips, cracks, or gaps. It’s a quick and easy way to enhance the appearance of your teeth.
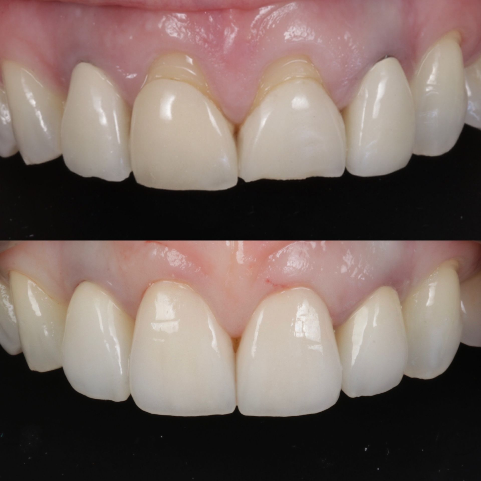
Porcelain Veneers
Veneers are thin, custom-made shells placed on the front of teeth to improve shape, color, and alignment. They’re a popular option for achieving a more uniform, confident smile.


