Periodontal Treatments
Diagnosis of Gum Disease
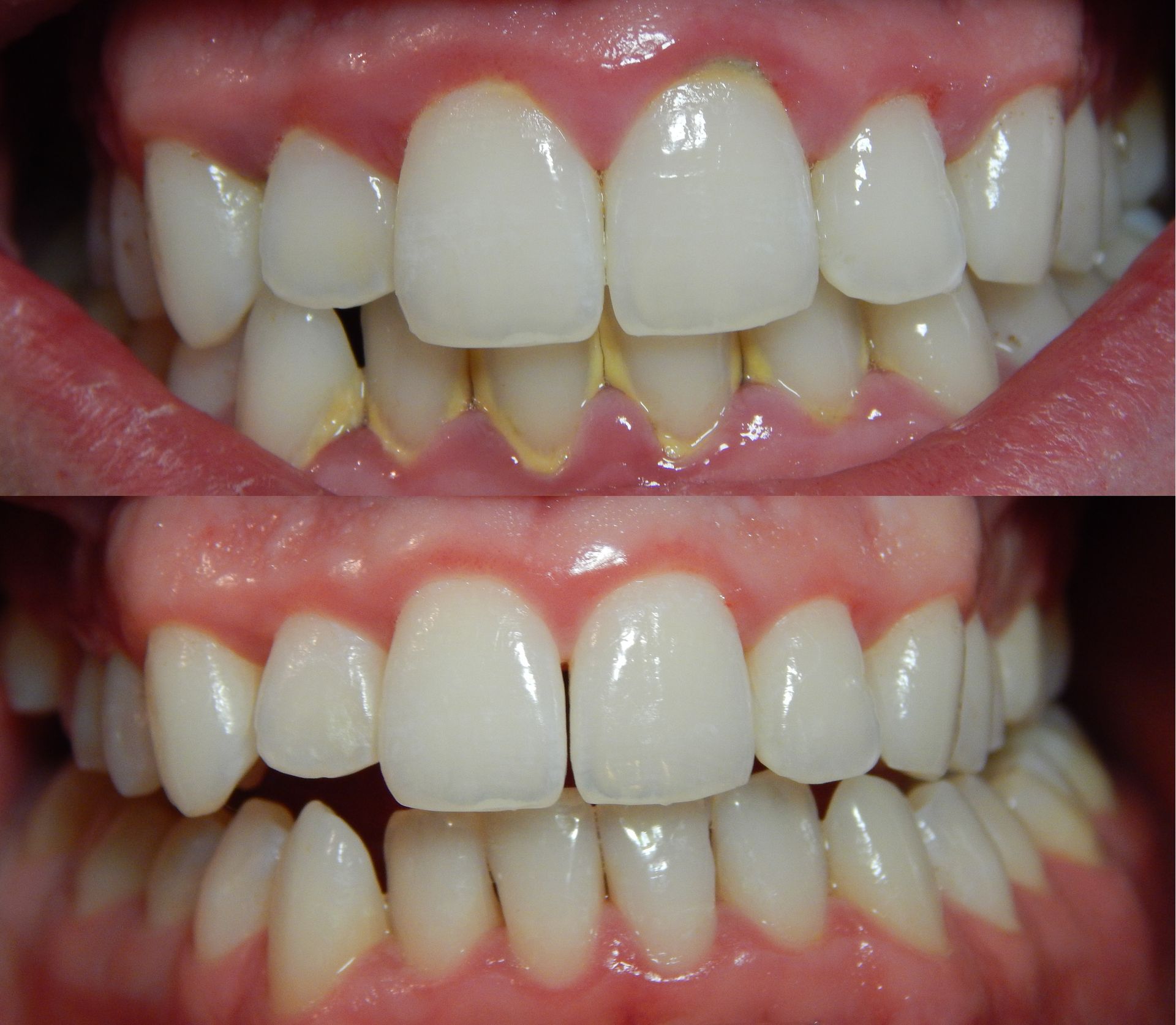
Gum disease is a common condition that can affect oral and overall health. Treatment focuses on removing bacteria and restoring gum health to prevent further damage.

Scaling and Root Planing (Deep Cleaning)
Scaling and root planing is a deep cleaning procedure used to treat gum disease. It removes plaque and tartar from below the gumline and smooths the tooth roots to help gums heal and reattach. This treatment helps reduce inflammation, prevent further damage, and restore gum health.

Long-Term Maintenance Plans
Personalized care programs designed to protect your oral health after treatment. These plans may include regular cleanings, exams, and monitoring to help prevent future dental issues and maintain the results of procedures such as gum therapy, restorations, or implants. Ongoing care supports a healthy, comfortable smile for years to come.

